Едва не ослеп после покоса травы: хабаровские врачи вернули зрение пациенту
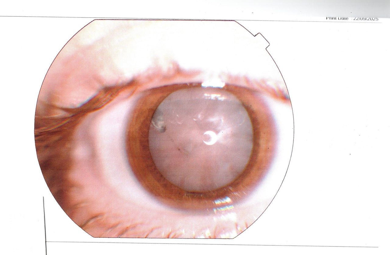
Мужчина обратился в глазной травмпункт больницы имени Войно-Ясенецкого с жалобами на потерю зрения. Он рассказал, что месяц назад почувствовал инородный предмет в правом глазу после покоса травы. За это время он успел пройти курс лечения, который, к сожалению, не помог – к моменту обращения острота зрения упала до 4%.
Обследование показало, что в хрусталике застрял металлический осколок, который вызвал травматическую катаракту. К счастью, хирурги сумели удалить катаракту вместе с осколком и имплантировать новый искусственный хрусталик. Зрение пациенту было полностью возвращено.










































