В Хабаровском крае активно реализуются профилактические мероприятия, направленные на обеспечение безопасности детей и формирование антикоррупционного мировоззрения у подрастающего поколения. В Хабаровском районе и городе Хабаровске прошли значимые...
Все новости
Уважаемые водители!Напоминаем, что алкоголь и управление транспортным средством несовместимы!
Во многих отделениях Социального фонда России (СФР), ранее известного как Пенсионный фонд, пенсионеры сталкиваются с проблемами, когда пытаются получить доступ к своим пенсионным делам. Коррупция и небрежное обращение с клиентами...
Коррупция недопустимаОткажитесь и сообщите об этом в правоохранительные органы.Помните: ваша безопасность и справедливость на дорогах важнее всего.
В 2025 году в России стартовала новая программа, позволяющая получить финансовую поддержку на покупку бытовой техники. Эта инициатива направлена на помощь обществу и предоставляет возможность возместить до 50% стоимости энергоэффективных устройств...
Шоколадный манник становится настоящим открытием для любителей сладостей. Этот пирог, обладающий пористой текстурой и умеренной влажностью, покрыт аппетитной глазурью и готовится без яиц и молока, что делает его отличным выбором для постного...
Пятна на ковре могут не дать уснуть каждой идеальной домохозяйке по ночам. СодержаниеКак ухаживать за коврами и избежать пятен?Стойкие пятна на ковре - как с ними бороться?Химические пятновыводители – от каких пятен помогут?Домашние средства...
Два года назад молодая пара обрела семейное счастье, но их жизнь приняла неожиданный оборот, когда они решили временно поселиться в квартире тёти. К сожалению, оказавшись под одной крышей с богатым наследием, они быстро поняли, что это...
Сочетание свинины и баклажанов заиграло новыми красками. Это классическое ныне блюдо, которое легко приготовить, может удивить даже самых искушенных гурманов. Баклажаны, мягкие и наполненные ароматами, создают новый уровень...
Диетолог Михаил Гинзбург назвал продукты, которые способствуют улучшению настроения и помогут повысить уровень «гормона радости».
Он пояснил, что свое психоэмоциональное состояние человек может улучшить за счет употребления любых сладостей.
Об...
Многие любители домашних растений ошибочно полагают, что культура гидропоники — это искусство, доступное лишь для профессионалов. На самом деле, этот метод значительно упрощает жизнь и позволяет выращивать любимые кактусы без...
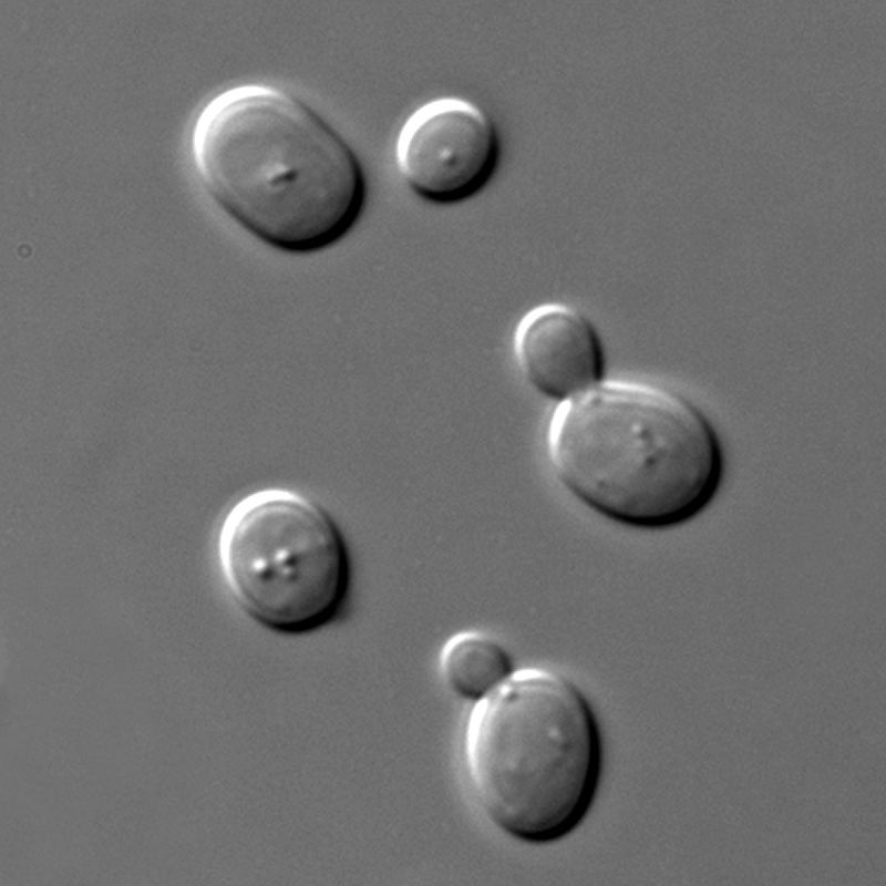
Чайный гриб, хлеб, пиво и вино – что объединяет эти популярные продукты? Ответ прост: все они созданы благодаря удивительным микроскопическим организмам – дрожжам!
История дрожжей
Дрожжи, представляющие собой одноклеточные грибы...
Ирина Хакамада – яркая личность, обладающая уникальной способностью говорить о сложных вещах просто и доступно. Политик, экономист, писатель и оратор, она предлагает свои мысли, основанные на опыте...
25 июня 2025 года в Госдуме был представлен законопроект, который обещает значительное увеличение академических и социальных стипендий для студентов вузов, колледжей и техникумов до уровня прожиточного минимума по стране. Это...
В Хабаровском крае сотрудниками Госавтоинспекции не зарегистрировано дорожно-транспортных происшествий с пострадавшими. В Хабаровском крае выявлено:- 429 нарушений ПДД;- 15 водителей, управлявших ТС в состоянии опьянения ч. 1 ст. 12.8 КоАП РФ и ст....
В ходе недавней пресс-конференции в Бишкеке президент России Владимир Путин сообщил о подготовке ряда ответных мер на случай, если Запад решит конфисковать замороженные российские активы. Эта ситуация в настоящее время становится все более...
Правительство России намерено продлить свои полномочия по принятию особых решений в условиях экономических санкций, введенных недружественными странами и организациями. Соответствующий законопроект был принят Госдумой в первом чтении без...
Девушки, которые недавно получили водительское удостоверения, часто сталкиваются с советами мужа по поводу того, как надо ездить. СодержаниеЗапастись терпениемРассказать о своих чувствахСтавить советы под сомнение
Какие-то мужчины спокойно высказывают...
Судебные приказы о взыскании долгов за коммунальные услуги и взносы на капитальный ремонт — явление достаточно распространенное. Однако, далеко не все граждане понимают, что эти приказы можно оспорить, и иногда это очень просто. Важно знать, что...








































