Чайный гриб, хлеб, пиво и вино – что объединяет эти популярные продукты? Ответ прост: все они созданы благодаря удивительным микроскопическим организмам – дрожжам!
История дрожжей
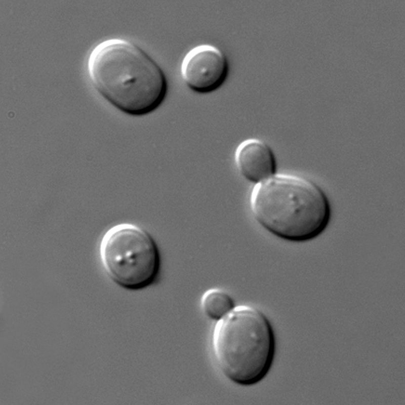
Дрожжи, представляющие собой одноклеточные грибы, размножаются поразительным способом – почкованием. Естественная среда обитания дрожжей изобилует сладкими веществами: их можно найти на поверхности фруктов, ягод и даже на цветках. Они также могут обитать в почве или воде, ожидая своей очереди для размножения.
Считает, что люди впервые начали использовать дрожжи более 6000 лет назад, когда египтяне открыли секрет производства пива. Научившись добавлять дрожжи в тесто для выпечки, они начали производить хлеб лишь через 1200 лет. Интересно, что дрожжи могут находиться на поверхности виноградных ягод и сами собой становятся частью алкогольного процесса – как только ягоды давятся, дрожжи активно превращают сахара в алкоголь.
Как работает чайный гриб
Чайный гриб, который многие из нас видели в домашних условиях, представляет собой симбиоз дрожжей и бактерий. Процесс его жизни включает в себя те же механизмы, что и в случае с вином: дрожжи усваивают сахар, образуя этанол, а затем бактерии продолжают биохимическое преобразование в уксусную и глюконовые кислоты.
Интересно, но чайный гриб на самом деле не требует чая для своего существования. Он может успешно развиваться в обычной сладкой воде, получая необходимые вещества для своего роста. Настой лишь добавляет уникальный вкус и аромат, которые делают напиток более привлекательным для потребителей.
Разнообразие дрожжей и их роль в производстве
Существует множество видов дрожжей, и каждый из них имеет свои предпочтения в условиях обитания. Виноделы, например, выбирают определенные сорта дрожжей, которые могут выживать в разных концентрациях алкоголя, что влияет на конечный продукт. Крепость и характеристики различных вин зависят от типов используемых дрожжей.
Перейдем к пивоварению. Здесь также употребляются разные виды дрожжей, которые имеют свои особенности размножения в зависимости от температуры. Они используют сахар из пророщенных зерен, получая два основных типа пива: с холодным и теплым брожением. Похожим способом изготавливается и квас, в который для дополнительных вкусовых качеств добавляются молочнокислые бактерии.































